换牙期“手动”拔牙?
孩子换牙时,该掉的乳牙没掉,该长的恒牙没长出来,这种情况被称为“乳牙滞留”和“恒牙阻生”。此时,是否应当拔除滞留的乳牙,就需要依据客观的临床指征进行判断了。其中,判断是否需要拔牙的核心依据就是恒牙牙根的发育程度。

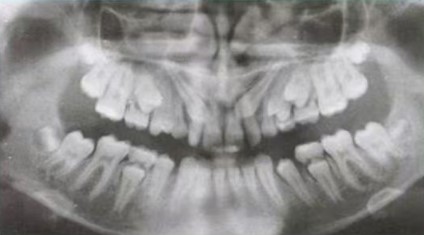
医生通常会通过X光片来观察。当发现恒牙的牙根已经发育到3/4长度时,就表示它已经蓄势待发,准备萌出了,此时,对应的乳牙就应进入生理性的松动、脱落阶段。

如果在这个阶段出现了以下情况,医生则可能会建议拔除滞留的乳牙哦:
1.乳牙过于稳固:X光片显示恒牙牙根已经发育充分,但乳牙丝毫没有松动迹象。
2.乳牙称为阻碍:恒牙萌出的方向正常,但却被乳牙牙根挡住了去路。
3.乳牙明显延迟:与同龄孩子相比,这颗恒牙的萌出时间明显延迟。
所以,家长们,请不要过度焦虑,更不要自己动手摇晃或强行拔除孩子的乳牙。建议在孩子换牙期间定期进行口腔检查。医生可以通过临床检查和X光片,精准评估恒牙的位置和发育阶段,从而在最佳时期(通常在恒牙根形成3/4左右)做出专业判断,决定是否需要干预,以确保恒牙能够顺利、整齐地萌出。